据统计
我国先天性心血管病的发病率
约为7~10‰
每年约有15-20万出生婴儿患有
先天性心脏病
任何影响胎儿心脏发育的因素都可能造成小宝宝先天性心脏病,只有部分先天性心脏疾病是与遗传有关的。随着现代医学技术和医疗设备的快速发展,现在,我们可以通过心脏彩超检查宫内胎儿心脏健康状况,筛查先天性心脏疾病胎儿,及早发现,及时治疗。
近日
我院四维超声团队
运用先进的美国GE四维彩超
连续筛查出多例“胎儿心脏异常”病例
5月22日,全国著名胎儿心脏超声专家、首都医科大学附属北京安贞医院超声科主任——耿斌教授到安琪对这些异常病例进行会诊后,确认与我院筛查结果一致,并为这些孕妈妈提出了指导性建议。
同时,耿斌教授也提醒广大孕妈妈,一定要重视四维彩超检查和胎儿心脏专项筛查,这对优生优育具有非常重要的意义。

— 01 —

上图为我院筛查出的异常病例,超声显示:胎儿右心系统明显增大,左右心比值不对称,室间隔可见回声失落、主动脉及峡部内径稍细。因孕妇未做过四维,检查时已超过33周。
该孕妇得知北京安贞医院耿斌教授定期到安琪会诊后,立即进行了预约,后经耿斌教授会诊后,考虑胎儿左右心比例严重失调(卵圆孔近闭合所致),室间隔缺损(膜周)。
【专家建议】唯恐胎儿卵圆孔过早闭合,所以晚孕期要增加产检次数及时关注,条件准许的情况下尽可能提前采取措施生产,减少宝宝临产期在孕妇肚子里的时间、降低胎儿危险的机率。
— 02 —

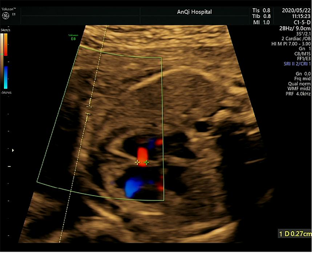
图一:
22周孕妈在我院进行四维筛查时,超声所见:右心室壁增厚、下腔静脉及右肺静脉显示不理想,超声提示建议心脏专项系统筛查。
图二:
耿教授会诊后,超声显示:左右心比值大于1,右侧两支肺静脉汇合后向下走行,穿过膈肌,汇入下腔静脉。
超声提示:胎儿右心发育不良(隐匿型),右肺静脉异位引流(高度怀疑弯刀综合症)。
弯刀综合症,是罕见的胎儿先天性血管畸形,需要近期观察胎儿发育方向,有做产后干预的可能。
【名词解释】弯刀综合症(scimitar syndrome)是肺静脉畸形引流的一类型(心下型),特点是右肺静脉开口于下腔静脉,它是由部分肺静脉回流异常而导致的一组病征为主要特征。
— 03 —

上图为一位腹壁脂肪层较厚的孕妈在我院做四维时的截图,超声医生检查发现其心室多个强回声斑,建议结合无创结果并进一步心脏专项筛查。
5月22日,经耿教授会诊,超声提示为心室多枚强回声斑,室间隔膜周部缺损。
【专家建议】孕期随着孩子的生长发育,室间隔缺损的大小有不变、变大、变小和自愈几种可能性,需要复查超声进行动态观察。孩子出生后尽快做心脏超声检查,明确诊断,以方便医生制定合适的治疗方案。
— 04 —

图一为孕妈在我院做四维筛查的截图,考虑右位主动脉弓。
图二为耿教授会诊后,确诊为右位主动脉弓,右位导管。
【名词解释】右位主动脉弓是在正常的胚胎发育过程中,左侧第4对鳃动脉弓退化消失,右侧发育形成右位主动脉弓,可分两型,I型多伴有其他畸形,II型多无异常
【专家建议】增加孕晚期超声检查次数。在胎儿出生后,要注意观察胎儿是否有异常的表现或者出现一些症状,而且要定期去医院做心脏检查,确保心脏发育正常。
— 05 —

上图为我院四维筛查发现胎儿动脉导管迂曲。
【名词解释】动脉导管是胎儿时期连接主动脉和肺动脉之间的一根血管。动脉导管迂曲是动脉导管过长的一种状态,对胎儿发育不会造成影响。在出生后动脉导管闭合,如果不闭合会形成动静脉血管之间异常血流通道,属于先天性血管畸形。
【专家建议】可以增加孕晚期彩超产检次数,观察动脉导管,防止过早闭合;生后、尤其1岁后可以做宝宝心脏彩超,防止不闭合。
有些胎儿心脏畸形
在超声诊断中是很容易漏诊的
需要医生丰富的经验和极强的责任心
同时也需要利用先进的诊疗设备
四维彩超产前筛查
不仅可以筛查常见各种重大畸形
对胎儿心脏发育异常也有较好筛查效果
对于优生优育具有重要的意义


在安琪妇产医院做排畸检查时
如果发现胎儿心脏问题
医生会建议孕妈做一个专项的心脏彩超
国内胎儿超声权威专家耿斌教授
联合安琪妇产医院超声团队
一起倾听胎儿“心”声
为宝宝健康护航



带你了解心脏彩超
心脏彩超是一个能动态显示心腔结构、心脏搏动和心脏内外血液流动以及心脏周围毗邻结构的仪器。心脏探头其实就像摄像机的镜头,随着探头的转动,心脏的各个结构清晰地显示在屏幕上。
— 06 —

比如先天性心脏病,其总数不下于100种的畸形都能用心脏彩超显示出来。能在屏幕上看到残留的孔洞以及通过该孔的血流;能看到瓣膜的增厚、开口减小及通过该瓣口的高速血流;能看到心脏结构左、右及前、后位置上的变化,以及由此造成的血流路径的改变;能看到异常位置的心脏伴发的各种畸形。
心脏彩超能检查出什么?
几乎全部的,多达上百种的心脏畸形都可以用心脏彩超显示出来。比如常见的间隔缺损、卵圆孔未闭、流出道狭窄、法洛氏四联症、动脉导管未闭等等。可以通过彩超看到未闭合的缺损以及通过缺损分流的血流;能看到瓣膜狭窄或者关闭不全,能看到瓣膜的发育畸形等。心脏彩超是筛查先天性心脏病的首选检查。
哪些人要做胎儿心脏超声?
根据2012年中国医师协会超声医师分会《产前超声检查指南》上的规定,符合下列情形的孕妈妈很有必要做胎儿心脏彩超检查:
01.母亲方面的因素:
1.年龄大于35岁的高龄孕妇;
2.母亲患有先天性心脏病;
3.既往史中有异常妊娠史,如胎死宫内、流产、羊水过多或羊水过少等;
4.怀孕早期服用药物,如氧化锂、大伦丁等;孕期接触致畸物质,如放射线或油漆等;
5.患有各种类型糖尿病、结缔组织病、感染性疾病(如孕早期TORCH感染);
6.抗Ro或抗La抗体阳性。
02.胎儿方面的因素:
1.系统超声检查提示心脏畸形;
2.胎儿心律失常;
3.存在心脏以外器官畸形(染色体异常、脑积水及肾脏疾患、遗传综合征、非免疫性水肿、羊水过多或过失、颈后透明层增厚等);
4.双胎妊娠(双胎输血综合征及无心双胎畸形);
5.接触致畸因子。
03.家族方面的因素:
1.孟德尔综合征(结节性硬化症、Noonan综合征、DiGeorge综合征、Holt-Oram综合征、Ellis-vanCreveld综合征);
2.双亲患有先天性心脏病;
3.有先天性心脏病胎儿或患儿妊娠史。

为了让广大孕妈妈能更便捷地接受全国知名胎儿心脏彩超专家的面对面服务,安琪妇产医院特邀全国著名胎儿心脏超声专家、首都医科大学附属北京安贞医院超声科主任——耿斌教授每月下旬到安琪会诊,不用到安贞医院,孕妈妈们预约检查更方便!
名额有限,请提前预约!
预约电话:66595999